You may, or may not, have noticed the absence of posts here in the last two weeks. There’s good reason for that. I ended up in the hospital with a pulmonary embolism last week. The following is documentation of that experience.

I think it started the morning of May 15. I woke up with a sore shoulder and sore ribs. At least, that is what I thought at the time. I figured it was my body telling me it was time to flip our mattress, as it has done that before. So, I went about my day, which also included me driving to Kerrville for an inspection the next morning.
That night, I had a bit of trouble finding a comfortable position to sleep because of the “rib” pain. Suffice it to say, I didn’t sleep well. Spent the entire day on that inspection, and then headed back home. The drive is about 5 hours, and it was not the most comfortable drive because of the discomfort.
When I did get home at midnight, I took a shower and laid down on the couch so that I didn’t disturb the Mrs. I had the same issue as the night before with the discomfort, but it got increasingly worse as I tried to sleep. So much so that at 5 am, I decided this wasn’t normal and woke up the Mrs and made her take me to the hospital.
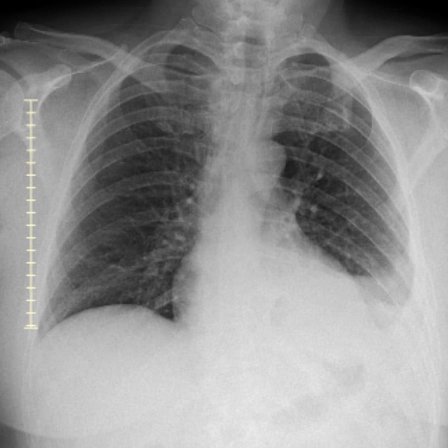
I got to the hospital emergency department and got seen. We spent about 6 hours there as they checked me and did chest x-rays and a CT scan. The hard part for me was laying down or taking in deep breaths. It was hard to breath, it just hurt when my chest expanded to a certain point.
After the tests, they didn’t find anything. The doctor did say my blood work hinted at a clot, but they didn’t see one. I also had a little fluid in a lung. Since they didn’t find anything, they suggested it may be muscle or skeletal related. The doctor prescribed me pain medication and a muscle relaxer.
I assumed maybe it was a delayed onset muscle strain (a real thing) since I had moved a bunch of dirt the weekend before. The muscle relaxer even worked on the “rib” pain.
I took it easy for a few days and even called out on Stone Machine Electric practice and a show I was supposed to play with Headeraser. I was bummed about that, but I needed to take it easy.

Tuesday morning, I woke up and remembered being unusually groggy. Went to the bathroom, cleared my throat, and spit in the sink. There, I saw a solid glob of blood. I was instantly confused. I cleared my throat some more and ended up hacking up about 4 blood globs. At that point, I was freaked and didn’t know what to do. So I waited for the Mrs to get up and asked her what I should do. She confirmed I should go back to the hospital. I jumped in my truck and headed back.
The process was similar. I got brought in, and they did another chest x-ray and CT scan. This time, they saw a clot in each of my lungs. The ER doctor thanked me for listening to my body and coming in. They soon started me on heparin as I waited in the emergency department for a room to open up. I’m being admitted for observation and to do more testing.

I spent two nights in the hospital hooked up to a heparin drip. They took blood samples every six hours, mainly to check how thin my blood was getting. The first day, they did an ultrasound on my legs to see if there were any other clots there. That came back clean. The next day, they did an echocardiogram to see if it did anything to my heart. That came back normal.
On my last day there, I was transitioned to a new blood thinner. In order to be discharged, I had to have a prescription ready that day for the new thinner. That was a bit of an ordeal because the started pack requires me to do a double dose the first week. No pharmacy in the area carried the starter pack. So, the doctor rewrote the prescription in a way that got me the same amount of meds that day. Finally, I was discharged, and the Mrs picked me up and took me home.

I’ve been out recovering for a few days now. I find it odd that I seemed more out of breath after the visit than before going in. Hopefully, that is a testament to catching it early.
I have travel plans coming up, so I’m really hoping this doesn’t affect that. I should be in the clear by then.

5 Comments