Spontaneous Pneumothorax: also known as a collapsed lung, is a condition where air collects in the pleural space between the lungs and chest wall without an obvious cause.

It was a month ago that I was released from the hospital for a pulmonary embolism. I seemed to be recovering fine, at least I thought. I messaged my doctor a few weeks ago about bloating and pressure at my right ribs, so they scheduled me for a visit.
While waiting for my visit, I started having trouble sleeping. I’d just wake up feeling crappy. I decided to take my blood pressure, and it was spiking. Again, I reached out to my doctor, and they prescribed me some medication.
On the day of my visit, he thought that maybe my gall bladder was maybe causing an issue, but I had no tenderness. He went ahead and had me x-rayed in-house and had bloodwork done. They also scheduled me for an ultrasound.
Before I got home, the doctor called me and said he didn’t see any issues in the x-ray for my gall bladder. However, around 10 p.m., he called again while we were getting ready for bed. He called both of our phones since I wasn’t picking up. I listened to the message he left telling me their radiology tech had reviewed the x-ray and noticed my left lung collapsed. As soon as I hung up, he was calling again. I answered, and he repeated the message and told me to go to the ER. So, got dressed and headed out.
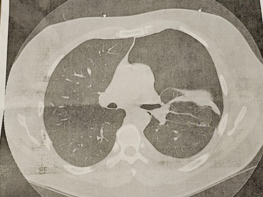
I got checked in and taken back. The ER doctor acted like he wasn’t convinced that’s what was going on. They did another x-ray, and an ultrasound. Not sure, they put me through the CT. The radiologist said it would be about 30 minutes before they got results. Not even 5 minutes later, the doctor came in and confirmed that it was collapsed.
They shot me up with something to calm me and numb the pain. I can now scratch fentynol off the list of narcotics I’ve had. They wasted no time in getting prepped to insert a chest tube to start sucking out the air from my chest cavity. What they gave me was not enough for that pain. Soon after, they shipped me upstairs to a room I stayed in for the next few days as my lung slowly expanded.

When I saw the pulmonary doctor, he wasn’t sure what caused this. His best guess was that the pulmonary embolism may have damaged the lung and created a hole.
The weird thing is my blood oxygen levels were always good, and I never felt out of breath unless I was exerting myself lightly. I am still recovering from the pulmonary embolism, so that is common.
I’ve been back at home for a few days. I seem fine for now, just dealing with the hassle of scheduling follow-up appointments and trying to “take it easy.”

5 Comments